Elbow X-ray Views: What Normal Looks Like

V.Sislam 57 views
Elbow X-ray Views: What Normal Looks Like

Elbow X-ray Views: What Normal Looks Like

Hey everyone! Ever had an elbow X-ray and wondered what those different views actually mean? Maybe you’re curious about what a “normal” elbow looks like on film, or you’re a student trying to get a handle on radiology. Well, you’ve come to the right place, guys! We’re diving deep into the world of elbow X-rays, specifically focusing on the standard views and what they reveal about a healthy, happy elbow. Understanding these basic views is super crucial, whether you’re a patient trying to make sense of your results or a budding medical professional looking to ace your exams. We’ll break down the AP, lateral, and oblique views, highlighting the key bony landmarks and ensuring you know what to look for when everything is as it should be. So, grab a cup of coffee, get comfy, and let’s demystify those elbow X-rays together!

The Essential Elbow X-ray Views Explained

Alright, let’s get down to business, folks. When a doctor orders an elbow X-ray, they’re usually looking for fractures, dislocations, or signs of arthritis. To get a comprehensive picture, they’ll typically request a few standard views. The most common views you’ll encounter are the Anteroposterior (AP) view, the Lateral view, and sometimes oblique views. Each view gives us a different perspective of the intricate bony structures of the elbow joint. It’s like looking at a sculpture from the front, side, and then at an angle – each perspective reveals different details. Understanding these standard views is the foundation for interpreting any elbow X-ray , whether it’s normal or showing pathology. We’ll focus on identifying the key players: the humerus (the upper arm bone), the radius and ulna (the forearm bones), and the olecranon (the pointy part of the elbow you can feel). When we talk about “normal,” we mean that these bones are aligned correctly, have smooth joint surfaces, and there are no obvious breaks or abnormalities. It’s all about appreciating the anatomy in its intended, healthy state. Let’s start with the view that gives us the most straightforward look at the entire joint. Knowing these views will not only help you understand your own medical imaging but also give you a solid base if you’re studying anything related to healthcare or anatomy. Stick with me, and by the end of this, you’ll be spotting normal elbow anatomy like a pro!

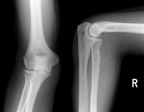
The Anteroposterior (AP) View: A Frontal Look

First up on our X-ray tour is the Anteroposterior (AP) view of the elbow. This is usually the first picture taken, and it gives us a nice, straight-on look at the elbow joint from the front. Imagine you’re looking directly at the palm of your hand – that’s essentially the direction the X-ray beam is traveling: from the front (anterior) through the elbow to the back (posterior). In this view, you’ll see the distal humerus, the proximal radius, and the proximal ulna. The key here is to observe the alignment. The trochlea of the humerus (the spool-shaped part that articulates with the ulna) should align nicely with the trochlear notch of the ulna. Similarly, the capitellum of the humerus (the round knob on the side) should articulate smoothly with the head of the radius. In a normal AP view, you’ll notice clear joint spaces between these bones, indicating healthy cartilage. There shouldn’t be any overlapping of bony structures that suggests displacement, and the overall contour of the bones should be smooth. We’re looking for well-defined edges and no signs of lucency (dark areas) or opacity (bright areas) that aren’t normally present, which could indicate fractures or bone spurs. The olecranon process, that prominent bump at the back of the elbow, will be clearly visible. Pay attention to the relationship between the radial head and the capitellum – they should fit together snugly. If you see any widening of the joint space or misalignment, it might suggest a problem like a ligament injury or dislocation, but in a normal AP view, everything sits just right. This view is fantastic for assessing the overall width of the joint and for spotting fractures in the distal humerus or proximal ulna/radius that might be missed on other views. It’s the baseline, guys, the first step in confirming that everything is structurally sound in your elbow.

The Lateral View: A Side Profile

Next, we move on to the Lateral view of the elbow. This view is absolutely critical because it gives us a profile, a side-on perspective, of the elbow joint. The X-ray beam here travels from the side of the elbow, typically through the pinky-finger side, to the thumb-finger side. This angle is super important for visualizing specific structures and their relationships that the AP view can’t show as clearly. When you look at a normal lateral elbow X-ray, you’ll see the humerus sitting above the ulna and radius. The most telling sign of a normal lateral view is the ‘fat pad’ sign . There are usually small, radiolucent (dark) areas within the joint capsule, representing fat. In a normal elbow, the anterior fat pad is often obscured or very faintly seen, lying along the anterior aspect of the distal humerus. The posterior fat pad, however, normally sits in its groove on the posterior aspect of the humerus and is usually not visible on a standard lateral X-ray. If the posterior fat pad is visible, it often means there’s fluid within the joint, which could be due to a fracture (like a radial head fracture) or other trauma, pushing the fat pad out of its normal position. So, a normal lateral view is one where the posterior fat pad is not seen. Another key landmark is the ‘coronoid line’ . Imagine drawing a line along the anterior border of the coronoid process of the ulna; this line should intersect the capitellum of the humerus in a normal, reduced elbow. Significant displacement or abnormal angulation here can indicate a fracture or dislocation. The olecranon process will also be prominent, and you can assess its relationship with the olecranon fossa of the humerus. The radial head should be clearly visualized articulating with the capitellum. The lateral view is your best friend for spotting elbow dislocations and subtle fractures, especially those involving the radial head or olecranon, because it shows the anterior-posterior relationship of the bones so well. It’s essential for evaluating joint congruity and detecting any subtle swelling or effusion within the joint. Remember, a normal lateral view is clean, showing good alignment and no displaced fat pads.

Oblique Views: Adding More Detail

While the AP and lateral views are the workhorses of elbow radiography, sometimes we need a little extra. That’s where oblique views come into play. These are essentially views taken at an angle, typically around 45 degrees, either internally or externally rotated. They help us get a better look at specific parts of the elbow joint that might be overlapping or obscured in the standard AP and lateral projections. Think of them as the ‘detail shots’ for your elbow anatomy. For instance, an internal oblique view (where the forearm is rotated inwards) can be great for visualizing the radial head and the capitellum more clearly, especially if you suspect a subtle fracture of the radial head. You can see the contour of the radial head much better without the humerus overlying it. Conversely, an external oblique view (forearm rotated outwards) can offer a clearer picture of the trochlear notch of the ulna and the olecranon process. In a normal oblique view, you’re again looking for smooth bony contours, good alignment, and no signs of fracture lines. The key benefit of these views is minimizing superimposition. In the AP or lateral views, the bones can sometimes overlap in such a way that a small fracture or abnormality might be hidden. Oblique views shift things around just enough to open up those areas for a better look. They are particularly useful for assessing the integrity of the radial head and neck, the coronoid process, and the olecranon. When you see a normal oblique view, it confirms that these specific anatomical structures are intact and well-aligned, free from any lucent lines suggestive of a break or any abnormal widening that might indicate instability. They add a layer of confidence to the interpretation, ensuring that no small detail has been missed. So, while not always routine, these oblique projections are valuable tools in the radiologist’s arsenal for a truly comprehensive evaluation of the elbow joint, especially when there’s a high index of suspicion for injury.

What Constitutes a “Normal” Elbow on X-ray?

So, what does a truly normal elbow look like when all is said and done on these X-ray views? It boils down to a few key characteristics that radiologists and clinicians look for. Firstly, perfect bony alignment is paramount. In all views – AP, lateral, and oblique – the key bony landmarks should be positioned correctly relative to each other. The trochlea of the humerus should perfectly seat into the trochlear notch of the ulna, and the capitellum should align with the radial head. There should be no signs of dislocation, where the bones are out of their normal joint. Secondly, the joint spaces should be smooth and well-defined . This means the cartilage covering the ends of the bones is intact, and the space between the bones (representing the cartilage thickness) appears consistent and not widened or narrowed abnormally. You won’t see jagged edges or signs of bone spurs (osteophytes) that are often indicative of arthritis. Thirdly, no fractures or bone lesions should be visible. A normal X-ray will not show any dark lines (fracture lines) traversing the bone, nor will it show any unusual dark or light spots within the bone that could suggest a tumor or infection. The bone density should appear uniform. Fourthly, as mentioned for the lateral view, the fat pads should be in their normal positions . The posterior fat pad should not be visible, and the anterior fat pad should not be significantly displaced. Its visibility or displacement is a strong indicator of intra-articular effusion or bleeding, suggesting an injury. Finally, the cortical outlines of the bones should be sharp and uninterrupted . The cortex is the dense outer layer of the bone. On an X-ray, it appears as a thin, bright white line. In a normal elbow, this line should be smooth, continuous, and clearly defined all the way around the bone. Any breaks, irregularities, or thickening can be a sign of pathology. Essentially, a normal elbow X-ray is one that shows a well-aligned, congruent joint with intact, smooth bony surfaces and no evidence of fracture, significant effusion, or degenerative changes . It’s a picture of healthy anatomy, guys, showing that the elbow is functioning as it should without any underlying structural issues revealed by the X-ray.

Beyond the Standard: When More Views Might Be Needed

While the AP, lateral, and sometimes oblique views cover most situations, there are times when radiologists might request additional or specialized elbow views . This usually happens when the standard views aren’t providing a clear enough picture to rule out a specific injury, or when there’s a strong suspicion of a problem in a particular area. For instance, if a patient complains of pain localized to the very tip of the elbow, a specific olecranon view might be taken. This view often involves flexing the elbow more and angling the X-ray beam to get a better look specifically at the olecranon process and its articulation with the humerus, making it easier to spot fractures or stress reactions in that area. Similarly, if there’s concern about a subtle fracture of the radial head or neck, which can sometimes be tricky to see, a transthoracic lateral view might be employed. This is a more advanced technique where the X-ray beam passes through the chest to get a lateral image of the affected elbow, useful when the elbow cannot be fully positioned for a standard lateral view due to injury or swelling. Another scenario is evaluating for heterotopic ossification (abnormal bone formation) or subtle arthritis, where specific tangential views might be needed to highlight joint surfaces. Sometimes, stress views are used, where the clinician applies gentle force to the elbow while taking X-rays to assess ligamentous stability, though this is less common for routine X-rays. Basically, guys, if the initial X-rays are inconclusive, or if the clinical suspicion for a particular injury is high and not being met by the standard imaging, the radiologist and the referring physician will collaborate to determine if further, more specialized views are warranted. These extra shots are all about getting the clearest possible diagnostic information to ensure the right diagnosis and treatment plan are put in place. It’s all about providing the best care possible, and sometimes that means going the extra mile with imaging.

Conclusion: You’ve Got the Basics of Normal Elbow X-rays!

So there you have it, team! We’ve journeyed through the essential elbow X-ray views – the AP, the lateral, and the oblique – and dissected what constitutes a normal appearance for each. You now know that a normal elbow on X-ray means proper bony alignment , smooth joint surfaces , the absence of fractures or lesions , and fat pads sitting where they should be . You’ve also learned that while these standard views are usually sufficient, specialized views exist to provide even more detail when needed. Understanding these basics is a huge step whether you’re a patient seeking clarity on your own imaging or embarking on a career in the medical field. Remember, interpreting X-rays is a skill that develops with practice and experience, but having a solid grasp of normal anatomy is your crucial first step. We hope this breakdown has demystified the process and given you the confidence to better understand elbow X-ray reports. Keep learning, stay curious, and you’ll be spotting normal anatomy like a pro in no time! Stay healthy, guys!