ER, PR, And HER2 Neu: Decoding Breast Cancer Markers

V.Sislam 19 views
ER, PR, And HER2 Neu: Decoding Breast Cancer Markers

ER, PR, and HER2 Neu: Decoding Breast Cancer Markers

Hey there, cancer fighters and health enthusiasts! Today, we’re diving deep into the world of breast cancer and unraveling the mysteries behind those crucial markers: ER, PR, and HER2 Neu. If you’ve been diagnosed, or if you’re simply curious about what these terms mean, you’re in the right place. These markers are like secret codes, helping doctors understand the specific type of breast cancer you have and tailor the best treatment plan. So, let’s get started, and I’ll break it down for you in a way that’s easy to understand. Get ready to boost your knowledge and feel empowered! We’ll cover everything from what each marker stands for to how they influence treatment decisions. Let’s make this informative and a little less intimidating, shall we?

Understanding the Basics: ER, PR, and HER2 Neu

First off, ER, PR, and HER2 Neu are proteins found on or in breast cancer cells. They provide critical information about the cancer’s characteristics. Think of them as tiny flags that give clues about how the cancer might behave and respond to different treatments. In a nutshell:

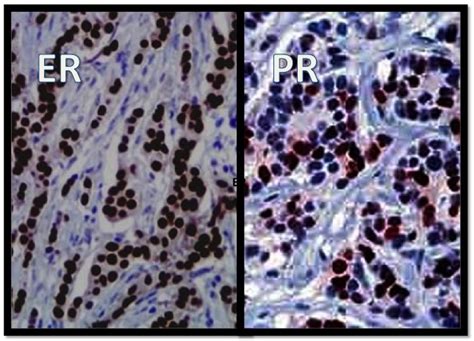
  • ER stands for Estrogen Receptor.
  • PR stands for Progesterone Receptor.
  • HER2 Neu is a protein that promotes cell growth.

So, why are these markers so important? Well, they help doctors classify breast cancer, helping them choose the most effective approach for each patient. Depending on the levels of these proteins, breast cancer can be classified into different subtypes. For instance, if a cancer is ER-positive and/or PR-positive, it means the cancer cells have receptors that estrogen and/or progesterone can attach to. These types of cancer often respond well to hormone therapy. On the flip side, HER2-positive cancers tend to grow and spread more aggressively. However, there are targeted therapies that can effectively control these types of cancers. Now, let’s dig into each marker individually to understand their roles and implications. Are you ready?

What is ER (Estrogen Receptor)?

ER (Estrogen Receptor) is a protein found inside breast cells. When estrogen, a hormone that promotes the growth and development of female characteristics, binds to the ER, it can promote cancer cell growth. If a breast cancer is ER-positive (ER+), it means the cancer cells have estrogen receptors. This also means that estrogen may fuel the growth of the cancer. This is crucial because ER-positive cancers often respond well to hormone therapy, such as tamoxifen or aromatase inhibitors, which block estrogen’s effects or stop the body from making estrogen. The level of ER expression (how many receptors are present) can influence the effectiveness of hormone therapy and is measured during the breast cancer diagnosis process. ER status is a critical piece of information used by oncologists to develop personalized treatment plans. Understanding your ER status is the first step in creating an effective treatment strategy and improving outcomes. It’s really that simple!

What is PR (Progesterone Receptor)?

PR (Progesterone Receptor) is another protein found inside breast cells, similar to the estrogen receptor. Progesterone is another hormone that can influence breast cancer growth. When progesterone binds to PR, it can also promote cancer cell growth. The presence or absence of PR, like ER, is a key factor in determining treatment options. If a breast cancer is PR-positive (PR+), it means the cancer cells have progesterone receptors. This often indicates the cancer is also ER-positive . These types of cancer are more likely to respond to hormone therapy. Knowing your PR status can provide additional insight into the biology of your cancer. It can help doctors predict how well hormone therapy will work. PR status can also provide clues about the cancer’s overall behavior. So, just like with ER, the more you know about your PR status, the better you can understand the nature of your cancer. This knowledge is an essential element in the treatment process. Are you getting the picture?

What is HER2 Neu?

HER2 Neu (Human Epidermal Growth Factor Receptor 2) is a protein that is located on the surface of breast cells. HER2 Neu promotes cell growth and division. When HER2 is overexpressed, meaning there are too many HER2 receptors, it can lead to uncontrolled cancer cell growth. Breast cancers that have high levels of HER2 are called HER2-positive (HER2+) . These cancers tend to grow and spread more aggressively than HER2-negative cancers. But don’t worry, there’s good news! HER2-positive breast cancers often respond well to targeted therapies that specifically block the HER2 protein. These therapies, such as trastuzumab (Herceptin) and pertuzumab (Perjeta), have dramatically improved outcomes for people with HER2-positive breast cancer. Your doctor will likely order a test to determine your HER2 status. This is really important to know because it influences treatment decisions. It is a critical component of determining the right approach and improving overall chances of success. Understanding your HER2 status, whether positive or negative, is essential for guiding treatment strategies. Pretty neat, huh?

How These Markers Affect Breast Cancer Treatment

So, now that we know what these markers are, how do they influence treatment? The presence or absence of ER, PR, and HER2 Neu helps doctors determine the best treatment strategy for each individual. Let’s see how this works:

  • ER-positive/PR-positive: These cancers are often treated with hormone therapy (such as tamoxifen or aromatase inhibitors) that blocks estrogen or progesterone from fueling cancer growth.
  • HER2-positive: These cancers are often treated with targeted therapies that specifically target the HER2 protein.
  • Triple-negative: This type of breast cancer is negative for ER, PR, and HER2. These cancers are not responsive to hormone therapy or HER2-targeted therapies. They are often treated with chemotherapy.

It’s amazing how this works, right? Doctors use this information to create a personalized treatment plan for you. The treatment options are tailored to the specific characteristics of your cancer. Therefore, understanding your marker status is really important for making informed decisions about your care. Remember, you’re not alone in this. Your medical team is there to guide you through the process, explain the treatment options, and provide support every step of the way. With the help of these markers, doctors can tailor treatments to effectively combat cancer and improve outcomes. You’ll be supported by a great team!

Treatment Options for Different Marker Profiles

Let’s dive a little deeper into the treatment options based on the marker profiles. The following are typical treatments, but always remember to discuss your specific case with your medical team. Treatment plans are made based on the individual needs of each patient.

  • ER+/PR+/HER2-: Often treated with hormone therapy (such as tamoxifen or aromatase inhibitors), sometimes combined with chemotherapy. The goal is to block hormones that help cancer cells grow.
  • ER+/PR+/HER2+: Treated with a combination of hormone therapy, HER2-targeted therapies (like trastuzumab or pertuzumab), and sometimes chemotherapy. The goal is to target both hormone receptors and the HER2 protein.
  • ER-/PR-/HER2+: Treated primarily with HER2-targeted therapies, often combined with chemotherapy. The goal is to target the HER2 protein.
  • ER-/PR-/HER2- (Triple-negative): Treated primarily with chemotherapy. Research is ongoing for targeted therapies. The goal is to attack cancer cells directly since there are no receptors to target.

As you can see, the specific treatment plan is based on your unique marker profile. So, if you are reading this, consider it a tool to help you be ready to discuss all of this with your medical team. Also, there’s always ongoing research to improve treatments and outcomes. Therefore, stay informed, ask questions, and be an active participant in your care.

The Testing Process: How are ER, PR, and HER2 Neu Determined?

How do doctors find out about these markers? The process typically involves a biopsy. During a biopsy, a small sample of tissue is removed from the breast tumor. This sample is then sent to a lab for analysis. Here’s a simplified overview of the process:

  1. Biopsy: A small sample of the breast tumor is taken.
  2. Pathology Analysis: The sample is examined by a pathologist who looks for the presence and levels of ER, PR, and HER2.
  3. Immunohistochemistry (IHC): The most common method used to test for ER, PR, and HER2 is immunohistochemistry (IHC). This test uses special stains that bind to the proteins. The results are typically reported as positive or negative. The amount of the protein is sometimes noted as well.
  4. Fluorescence in situ Hybridization (FISH): If the IHC results for HER2 are unclear (e.g., equivocal or borderline), a FISH test may be done. This test provides a more precise measurement of HER2 gene amplification.

The results of these tests help your doctor develop a tailored treatment plan, which is crucial for the best outcome. It’s important to understand the test, as it’s a key part of the process. Always ask your doctor to explain your test results in detail, and do not hesitate to ask questions. Knowing how this works allows you to become an active participant in your own care. You’ve got this!

Taking Control: What You Can Do with This Knowledge

Understanding your ER, PR, and HER2 Neu status empowers you to take control of your health. Here are some steps you can take:

  • Ask Questions: Don’t hesitate to ask your doctor to explain your test results and treatment options. Understand what’s going on.
  • Seek Support: Join support groups and connect with others who have faced similar challenges. They’ll be there for you.
  • Stay Informed: Keep up-to-date with the latest research and treatment advancements. Learn as much as you can.
  • Advocate for Yourself: Be your own advocate. You know your body best.
  • Follow Treatment Plan: Adhere to your treatment plan as directed by your doctor.

Remember, you’re not alone on this journey. By being informed, asking questions, and seeking support, you can navigate breast cancer with confidence and resilience. Knowledge is power, guys! So, keep learning, stay strong, and remember there’s hope and help available. You are in control!

Conclusion: Embracing Knowledge and Empowerment

In conclusion, understanding ER, PR, and HER2 Neu markers is key to navigating breast cancer. These markers unlock the secrets of your cancer, guiding treatment choices and providing hope for a brighter future. I hope this guide gives you a solid foundation of knowledge. Therefore, use this information to ask informed questions, seek the right support, and make the best decisions for your health. Remember, every piece of information you gather puts you in charge of your own journey! Stay positive, stay informed, and know that you are strong and supported. You’ve got this, and you’re not alone. Now go out there and be amazing! Your health is your wealth, and you’re worth it. Always remember that. Let’s conquer this challenge together, one step at a time!