Metaplastic Breast Carcinoma: What You Need To Know

V.Sislam 93 views
Metaplastic Breast Carcinoma: What You Need To Know

Metaplastic Breast Carcinoma: What You Need to Know

Hey everyone! Today, we’re diving into a topic that might sound a bit scary, but knowledge is power, right? We’re talking about metaplastic breast carcinoma . Guys, this is a rare type of breast cancer, making up less than 1% of all breast cancer diagnoses. But don’t let its rarity fool you; it’s important to understand what it is, how it differs from more common breast cancers, and what the outlook might be. Metaplastic breast cancer is unique because the cancer cells don’t just look like typical breast cancer cells under a microscope. Instead, they have a mix of cancerous cells, including those that have changed into other cell types, like squamous cells (think skin cells!) or cells that form cartilage or bone. This is what the term “metaplastic” refers to – a change in cell type. Because of this unique cellular makeup, metaplastic breast cancers can sometimes behave differently and may not respond to treatments that work well for other types of breast cancer, like hormone therapy. So, understanding these differences is super crucial for effective diagnosis and treatment planning. We’ll break down what makes this cancer stand out, discuss common signs and symptoms, explore diagnostic methods, and touch upon the treatment approaches. Stick around as we unpack this complex topic in a way that’s easy to understand.

Understanding Metaplastic Breast Carcinoma: A Deeper Dive

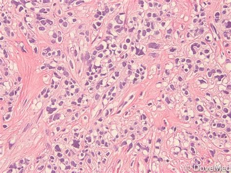
So, let’s get into the nitty-gritty of metaplastic breast carcinoma . What exactly makes it so different from, say, invasive ductal carcinoma, which is the most common type? Well, the key lies in the cells, guys. In regular breast cancer, the cells usually originate from the milk ducts or lobules (where milk is produced). But in metaplastic cancer, the cells undergo a transformation, or metaplasia, becoming more diverse. Imagine a group of cells deciding to change their uniform – that’s kind of what’s happening! This can include cells that look like squamous cells (a type of epithelial cell) or even cells that can form mesenchymal tissue, like cartilage or bone. This mix of cell types means that metaplastic breast cancer often presents as a fast-growing mass, and it’s frequently larger at the time of diagnosis compared to other breast cancers. Another significant difference is how these cancers typically test for certain biomarkers. Most breast cancers are tested for estrogen receptors (ER), progesterone receptors (PR), and HER2. Many metaplastic breast cancers are negative for ER and PR, which means hormone therapies won’t be effective. They can also be HER2-negative. This lack of typical receptor expression is a major factor influencing treatment decisions. Because they don’t have these common targets, treatment often relies more heavily on chemotherapy and surgery. It’s also important to note that metaplastic breast cancer is often diagnosed at a later stage, partly due to its rapid growth and the fact that it might not show up on mammograms as clearly as other types. Sometimes, it can even be mistaken for a benign condition like a cyst or a fibroadenoma on initial imaging, delaying the diagnosis. This underscores the importance of thorough evaluation and biopsy when any suspicious lump is found. The rarity of this condition also means that research is ongoing to better understand its specific behaviors and to develop targeted therapies. For medical professionals, recognizing the unique characteristics of metaplastic breast cancer is vital for providing the best possible care.

Signs and Symptoms to Watch For

Alright, let’s talk about what you might actually feel or see if you have metaplastic breast carcinoma . Because it tends to grow quickly, the most common sign is a lump or mass in the breast . This lump might feel firm and might not be tender. Unlike some other breast changes, it might not be easily movable. Some women report that the lump feels hard , almost like a rock. It’s crucial to remember that any new lump or change in your breast deserves attention from a doctor, no matter how insignificant it might seem. Beyond just a lump, other symptoms can occur, although they are less common. These might include changes in the breast’s skin, such as dimpling or puckering (sometimes described as looking like an orange peel). You might also notice nipple changes , like the nipple being pulled inward (retraction) or discharge from the nipple, especially if it’s bloody or clear. Swelling of the entire breast, or parts of it, can also be a sign, even if no distinct lump is felt. In some cases, there might be redness or thickening of the breast skin. Because metaplastic breast cancer can grow rapidly, these changes can sometimes appear relatively quickly. This is why regular breast self-awareness is so important, guys. Knowing your breasts – what’s normal for you – allows you to spot changes sooner. If you notice any of these symptoms, don’t delay in scheduling an appointment with your healthcare provider. Early detection is absolutely key for all types of breast cancer, and metaplastic carcinoma is no exception. While a lump is the primary indicator, being aware of these other potential signs can help you seek medical advice promptly. Remember, getting checked out is always the best course of action when you’re concerned about any change in your breast.

Diagnosis: How Doctors Identify Metaplastic Breast Cancer

Figuring out if you have metaplastic breast carcinoma involves a few steps, and it’s all about getting a clear picture of what’s going on inside the breast. The journey usually starts with a clinical breast exam , where your doctor will feel your breasts and lymph nodes for any abnormalities. If something suspicious is found, the next step is typically imaging tests . Mammograms are standard for breast cancer screening, but as we mentioned, metaplastic cancers can sometimes be tricky to spot on a mammogram. They might appear as a dense mass without the spiculated edges often seen in other cancers, or they might not be visible at all. Because of this, other imaging like a breast ultrasound is often used. Ultrasound is great for differentiating between solid masses and fluid-filled cysts and can provide more detail about a lump’s characteristics. Sometimes, an MRI of the breast might be recommended, especially if other imaging is inconclusive or to get a better view of the extent of the cancer. However, the definitive diagnosis of metaplastic breast cancer, like any cancer, comes from a biopsy . This is where a small sample of the suspicious tissue is removed and examined under a microscope by a pathologist. They look for the characteristic mixed cell types that define metaplastic carcinoma. During the biopsy, the pathologist will also perform tests to check for those important biomarkers: estrogen receptors (ER), progesterone receptors (PR), and HER2. As we discussed, these are often negative in metaplastic breast cancer, which significantly impacts treatment options. Pathologists might use special stains to identify the different cell types present. Sometimes, the initial biopsy might suggest a metaplastic carcinoma, but further testing or even a review of the surgical specimen after removal might be needed for a precise classification. The accuracy of the diagnosis is paramount, as it guides every aspect of the treatment plan. So, it’s a multi-pronged approach, combining physical exams, advanced imaging, and critical microscopic analysis to get to the bottom of it.

Treatment Options for Metaplastic Breast Cancer

When it comes to treating metaplastic breast carcinoma , the approach is often tailored to the individual, considering the cancer’s specific characteristics and stage. Because these cancers tend to be aggressive and often lack the hormone receptors (ER/PR) and HER2, the mainstays of treatment are typically surgery and chemotherapy . Surgery is almost always part of the plan. The type of surgery will depend on the size and location of the tumor, but it often involves removing the cancerous tissue along with a margin of healthy tissue (a lumpectomy) or removing the entire breast (a mastectomy). Lymph node removal might also be necessary if there’s concern about cancer spread. After surgery, chemotherapy is frequently recommended, even if the lymph nodes appear clear. This is because metaplastic breast cancers can have a higher risk of returning or spreading. Chemotherapy uses drugs to kill cancer cells throughout the body. The specific chemotherapy regimen will be determined by the medical oncologist, considering factors like the cancer’s stage and the patient’s overall health. Radiation therapy may also be used after surgery, especially if the cancer was large, involved the lymph nodes, or if there was concern about the surgical margins. Radiation uses high-energy rays to kill any remaining cancer cells in the breast or chest area. Unlike many other breast cancers, hormone therapy (like tamoxifen or aromatase inhibitors) is generally not effective for metaplastic breast cancer because these tumors usually don’t have estrogen or progesterone receptors. Similarly, targeted therapies that specifically target the HER2 protein are not useful if the cancer is HER2-negative, which is common for this type. However, research is ongoing into new treatment approaches, including potential targeted therapies that might address the unique genetic mutations found in some metaplastic breast cancers. Clinical trials can be a valuable option for patients seeking access to the latest investigational treatments. The treatment plan is a collaborative effort between the patient and a team of specialists, including surgeons, medical oncologists, and radiation oncologists, ensuring the most comprehensive care possible. The goal is always to remove the cancer and reduce the risk of recurrence.

The Prognosis and Outlook

Now, let’s talk about the prognosis for metaplastic breast carcinoma . It’s natural to want to know what the future might hold. Because metaplastic breast cancer is rare and tends to be more aggressive than some other types, the outlook can be different. Historically, the prognosis has been considered less favorable compared to more common forms of breast cancer, largely due to its tendency for rapid growth and a higher risk of recurrence or metastasis (spreading to other parts of the body). However, it’s super important to stress that outcomes can vary greatly from person to person. Factors such as the stage at diagnosis (how advanced the cancer is), the size of the tumor , whether it has spread to the lymph nodes , the specific subtypes of metaplastic carcinoma , and the patient’s overall health all play significant roles. Also, the effectiveness and timeliness of treatment are crucial. Advances in treatment, including more effective chemotherapy regimens and improved surgical techniques, are continuously helping to improve outcomes. While hormone therapies and HER2-targeted drugs aren’t typically effective, understanding that treatment focuses on surgery, chemotherapy, and potentially radiation means there are still powerful tools available. For metaplastic breast cancer, staying vigilant with follow-up care is critical. Regular check-ups and imaging are essential to monitor for any signs of recurrence. The rarity of this cancer also means that ongoing research is vital. Scientists are working hard to understand the unique biology of metaplastic tumors, identify new targets for therapy, and discover ways to predict which treatments will be most effective for individual patients. So, while the statistics might seem daunting, remember that personalized medicine and dedicated research are paving the way for better outcomes. If you or someone you know is facing this diagnosis, staying informed, advocating for comprehensive care, and participating in clinical trials if appropriate can make a real difference. The journey with cancer is tough, but with the right information and support, navigating it becomes more manageable. Guys, please remember to consult with your medical team for personalized information regarding your specific situation.