Peritonsillar Abscess: An In-Depth Journal Review

V.Sislam 96 views
Peritonsillar Abscess: An In-Depth Journal Review

Peritonsillar Abscess: An In-Depth Journal Review

Hey guys! Ever heard of a peritonsillar abscess? It sounds like a mouthful, right? Well, it’s a serious infection that can cause some major discomfort. In this article, we’re diving deep into the world of peritonsillar abscesses, drawing insights from various journals and studies to give you a comprehensive understanding. So, let’s get started!

What is a Peritonsillar Abscess?

Let’s kick things off with the basics. A peritonsillar abscess (PTA) , often called a quinsy, is a localized infection that develops in the space between the tonsil and the pharyngeal muscles in the throat. Think of it as a pocket of pus that forms near your tonsils. This nasty infection usually stems from untreated tonsillitis or other throat infections. Now, why should you care? Well, if left untreated, a PTA can lead to serious complications. We’re talking about difficulty breathing, swallowing, and even the infection spreading to other parts of the body. Not a fun situation, right?

The Nitty-Gritty Details

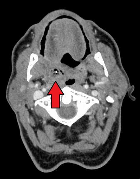
From a medical journal perspective, PTAs are polymicrobial infections, meaning they involve a mix of different bacteria. The usual suspects include Streptococcus pyogenes (the same bacteria that causes strep throat), Staphylococcus aureus , and various anaerobic bacteria. These little buggers team up to cause inflammation and pus formation, leading to that painful abscess. Diagnosing a PTA typically involves a physical exam, where a doctor will look for swelling and redness around the tonsils. They might also feel for a fluctuant mass, which is a fancy way of saying a squishy, pus-filled lump. In some cases, imaging tests like a CT scan might be necessary to confirm the diagnosis and rule out other issues.

Why This Matters

Understanding what a peritonsillar abscess is and how it develops is crucial for early detection and treatment. The sooner you catch it, the quicker you can get relief and prevent those scary complications. So, if you’re experiencing severe throat pain, difficulty swallowing, or a fever, it’s definitely time to see a doctor. Don’t wait until things get worse!

Causes and Risk Factors

Now that we know what a peritonsillar abscess is, let’s dig into the causes and risk factors. What makes someone more likely to develop this infection? Well, the most common cause is a complication of tonsillitis. You know, that sore throat that can make you feel like you’re swallowing razor blades? If tonsillitis isn’t treated properly, the infection can spread beyond the tonsils and into the surrounding tissues, leading to an abscess.

Common Culprits

  • Untreated Tonsillitis: This is the big one, guys. When tonsillitis goes unchecked, bacteria can sneak into the peritonsillar space and cause havoc.
  • Bacterial Infections: As mentioned earlier, specific bacteria like Streptococcus pyogenes and Staphylococcus aureus are frequent offenders.
  • Compromised Immune System: If your immune system is weak, you’re more susceptible to infections, including PTAs. This could be due to conditions like diabetes, HIV, or even just being run down.
  • Smoking: Smoking can irritate the throat and increase the risk of infections.
  • Previous PTAs: Unfortunately, if you’ve had a peritonsillar abscess before, you’re more likely to get one again. It’s like your throat has a welcome mat out for these infections.

Risk Factors Explained

From a journal perspective, research has shown that certain factors increase the risk of developing a PTA. For instance, people with a history of recurrent tonsillitis are at higher risk. This makes sense because each bout of tonsillitis provides an opportunity for the infection to spread. Similarly, individuals with weakened immune systems, whether due to illness or medication, are more vulnerable. Smoking, as always, is a bad idea. It not only irritates the throat but also impairs the immune system’s ability to fight off infections. So, if you’re a smoker, here’s another reason to kick the habit!

Prevention is Key

Understanding these causes and risk factors is essential for prevention. If you’re prone to tonsillitis, make sure you get it treated promptly. Practice good hygiene, like frequent hand washing, to reduce your exposure to bacteria. And, of course, maintain a healthy lifestyle to keep your immune system in tip-top shape. Remember, prevention is always better than cure!

Symptoms to Watch Out For

Okay, so how do you know if you might have a peritonsillar abscess? The symptoms can be pretty intense, and they usually come on quickly. If you’re experiencing any of the following, it’s crucial to get medical attention ASAP. We’re talking serious discomfort here, guys!

Key Symptoms

  • Severe Throat Pain: This is the hallmark symptom. We’re not talking about a mild tickle; this is a deep, throbbing pain that can make it hard to swallow.
  • Difficulty Swallowing (Dysphagia): The swelling and inflammation can make it feel like you’re trying to swallow a golf ball. It’s no fun.
  • Fever: A high fever is a sign that your body is fighting off a serious infection.
  • Muffled Voice (Hot Potato Voice): This is a classic symptom. The swelling can distort your voice, making it sound like you’re talking with a mouthful of hot potatoes.
  • Swollen Lymph Nodes: The glands in your neck may be swollen and tender to the touch.
  • Difficulty Opening Your Mouth (Trismus): The muscles around your jaw can spasm, making it hard to open your mouth fully.
  • Ear Pain: The pain can radiate to your ear on the affected side.
  • Bad Breath (Halitosis): The infection can cause some seriously stinky breath. Sorry, but it’s true!

Journal Insights on Symptoms

Medical journals emphasize the importance of recognizing these symptoms early. Studies have shown that early diagnosis and treatment can significantly reduce the risk of complications. The “hot potato voice” and trismus are particularly important indicators of a PTA. If a patient presents with these symptoms, doctors often have a high suspicion of an abscess. The severity of the throat pain is also a key factor. It’s usually much more intense than a typical sore throat caused by a viral infection.

Don’t Ignore the Signs

The bottom line is, if you’re experiencing severe throat pain along with any of these other symptoms, don’t brush it off. A peritonsillar abscess is a serious condition that needs prompt medical attention. Ignoring the symptoms can lead to complications that are much harder to deal with. So, listen to your body and seek help when you need it!

Diagnosis and Treatment Options

Alright, let’s talk about how doctors diagnose and treat a peritonsillar abscess. If you suspect you have a PTA, seeing a doctor is the first and most important step. They’ll perform a thorough examination to determine the best course of action. Let’s break down the process.

Diagnostic Procedures

  • Physical Exam: The doctor will start by looking at your throat. They’ll check for swelling, redness, and any visible signs of an abscess. They might also palpate (feel) your neck to check for swollen lymph nodes.
  • Needle Aspiration: This is a common procedure for diagnosing a PTA. The doctor will use a needle and syringe to try to drain pus from the suspected abscess. If pus is aspirated, it confirms the diagnosis.
  • Imaging Tests: In some cases, imaging tests like a CT scan may be necessary. This is especially true if the diagnosis is unclear or if there are concerns about the infection spreading.
  • Throat Culture: A sample of the pus or throat secretions may be sent to a lab for culture. This helps identify the specific bacteria causing the infection, which can guide antibiotic treatment.

Treatment Options

  • Antibiotics: Antibiotics are a crucial part of treatment. They help kill the bacteria causing the infection. The specific antibiotic used will depend on the bacteria identified in the culture.
  • Drainage of the Abscess: This is often necessary to relieve pain and pressure. The doctor may drain the abscess using needle aspiration or by making a small incision. Incision and drainage usually provides more immediate relief as it allows for more complete evacuation of the pus.
  • Pain Management: Over-the-counter or prescription pain relievers can help manage the discomfort. Gargling with warm salt water can also provide some relief.
  • Hydration: It’s important to stay hydrated, especially if you’re having trouble swallowing. IV fluids may be necessary in severe cases.
  • Tonsillectomy: In cases of recurrent PTAs, a tonsillectomy (surgical removal of the tonsils) may be recommended. This is a more permanent solution to prevent future infections.

Journal Insights on Treatment

Medical journals emphasize the importance of prompt and aggressive treatment for PTAs. Studies have shown that a combination of antibiotics and drainage is the most effective approach. The choice between needle aspiration and incision and drainage often depends on the size and location of the abscess. Some research suggests that early tonsillectomy may be beneficial in certain cases, especially for patients with a history of recurrent infections.

The Road to Recovery

With proper treatment, most people with a peritonsillar abscess recover fully. However, it’s crucial to follow your doctor’s instructions and complete the full course of antibiotics. Don’t try to tough it out on your own, guys. Getting the right treatment can make a huge difference in your recovery and prevent complications.

Potential Complications

Now, let’s talk about the potential complications of a peritonsillar abscess. While most people recover without any long-term issues, there are some serious risks if the infection is left untreated or not managed properly. We’re not trying to scare you, but it’s important to know what can happen.

Serious Risks

  • Airway Obstruction: This is one of the most concerning complications. The swelling from the abscess can block your airway, making it difficult to breathe. In severe cases, this can be life-threatening.
  • Sepsis: If the infection spreads into the bloodstream, it can cause sepsis, a severe and potentially deadly condition. Sepsis can lead to organ damage and failure.
  • Parapharyngeal Abscess: The infection can spread to the parapharyngeal space, which is a deeper area in the neck. This can lead to further complications and may require more extensive surgery.
  • Necrotizing Fasciitis: In rare cases, the infection can cause necrotizing fasciitis, a flesh-eating bacterial infection. This is a medical emergency that requires immediate treatment.
  • Aspiration Pneumonia: If pus from the abscess is aspirated into the lungs, it can cause pneumonia.

Journal Insights on Complications

Medical journals highlight the importance of early intervention to prevent these complications. Studies have shown that patients who receive prompt treatment are much less likely to experience serious outcomes. Airway obstruction is a particular concern, and doctors often monitor patients closely for signs of respiratory distress. Sepsis is another major risk, and it can develop rapidly if the infection is not controlled.

Prevention is Key

The best way to avoid these complications is to seek medical attention as soon as you suspect a peritonsillar abscess. Don’t wait until your symptoms become severe. Early diagnosis and treatment can make a huge difference in your outcome. Remember, it’s always better to be safe than sorry!

Prevention Strategies

Alright, guys, let’s wrap things up by talking about prevention. Is there anything you can do to reduce your risk of developing a peritonsillar abscess? The answer is yes! While you can’t completely eliminate the risk, there are several strategies you can use to protect yourself.

Key Prevention Tips

  • Prompt Treatment of Tonsillitis: This is the most important thing you can do. If you have symptoms of tonsillitis, see a doctor right away and get it treated properly. Don’t let it linger and potentially develop into a PTA.
  • Good Hygiene: Practicing good hygiene, like frequent hand washing, can help prevent the spread of bacteria that cause tonsillitis and other throat infections.
  • Avoid Smoking: Smoking irritates the throat and weakens the immune system, making you more susceptible to infections. Quitting smoking is one of the best things you can do for your overall health.
  • Boost Your Immune System: A strong immune system is your best defense against infections. Eat a healthy diet, get enough sleep, and exercise regularly to keep your immune system in top shape.
  • Consider Tonsillectomy: If you have recurrent tonsillitis or PTAs, your doctor may recommend a tonsillectomy. This can be a good option for people who experience frequent throat infections.

Journal Insights on Prevention

Medical journals emphasize the role of prompt antibiotic treatment for tonsillitis in preventing PTAs. Studies have shown that early and effective treatment can significantly reduce the risk of developing an abscess. Tonsillectomy is also a well-established preventive measure for recurrent infections. If you’re considering a tonsillectomy, talk to your doctor about the potential benefits and risks.

Take Charge of Your Health

Preventing a peritonsillar abscess is all about taking charge of your health. By treating tonsillitis promptly, practicing good hygiene, and maintaining a healthy lifestyle, you can significantly reduce your risk. Remember, your health is your most valuable asset, so take care of it!

Conclusion

So, there you have it, guys! A comprehensive look at peritonsillar abscesses, drawing from various journal insights. We’ve covered everything from what a PTA is to the causes, symptoms, diagnosis, treatment, potential complications, and prevention strategies. Hopefully, you now have a better understanding of this condition and how to protect yourself.

Remember, if you’re experiencing severe throat pain or any other concerning symptoms, don’t hesitate to seek medical attention. Early diagnosis and treatment are key to preventing serious complications. Stay healthy and take care of your throats!