Understanding Mild Fatty Liver Infiltration

V.Sislam 140 views
Understanding Mild Fatty Liver Infiltration

Understanding Mild Fatty Liver Infiltration

Hey everyone! Let’s dive into a topic that pops up on a lot of medical reports: mild fatty infiltration of the liver . Now, don’t let the word ‘infiltration’ scare you guys, because when we’re talking about mild fatty infiltration, it often means your liver has a bit more fat than it ideally should, but it’s usually not a cause for major panic. Think of your liver as a super-busy factory, and part of its job is processing fats. Sometimes, due to various reasons we’ll get into, this fat processing can get a little overloaded, leading to a buildup. The ‘mild’ part is key here; it suggests the condition is in its early stages and might be reversible with the right lifestyle changes. So, what exactly is going on in there? Essentially, fat droplets are accumulating in the liver cells, called hepatocytes. This happens when the rate at which fat enters the liver exceeds the rate at which it’s broken down or exported. It’s like a delivery truck bringing in more supplies than the factory can process immediately. But again, mild fatty infiltration is generally considered a benign condition , meaning it’s not inherently dangerous on its own. It’s often detected incidentally during imaging tests like ultrasounds or CT scans, done for other reasons. Doctors usually look at the degree of fat accumulation – mild, moderate, or severe – and this classification helps guide further management. So, if you’ve heard this term, take a deep breath, because understanding it is the first step to managing it effectively. We’re going to break down what causes it, what it means for your health, and most importantly, what you can do about it to keep that amazing liver of yours humming along smoothly. It’s all about understanding your body and making informed choices, and that’s exactly what we’re here to help you with today. Let’s get into the nitty-gritty!

What Exactly is Fatty Liver Infiltration?

Alright, let’s get down to the nitty-gritty of what fatty liver infiltration actually means, especially when it’s described as mild . Imagine your liver, that incredible organ working tirelessly behind the scenes, processing everything you eat and drink. One of its many jobs is to handle fats (lipids). It takes fats from your diet, makes them, and helps transport them out to where your body needs them. Now, fatty liver, or more technically, hepatic steatosis, happens when there’s an excessive accumulation of fat within the liver cells. When we say ‘mild fatty infiltration,’ it means this fat buildup is present but hasn’t reached a level that causes significant damage or inflammation to the liver. Think of it as a slight overflow in the fat storage department of your liver factory. It’s not a full-blown crisis, but more like a gentle nudge that says, ‘Hey, maybe we should pay a little more attention to how we’re handling fats.’ This mild accumulation usually doesn’t cause any noticeable symptoms, which is why it’s often discovered by chance during an ultrasound or CT scan ordered for something else. The liver appears brighter or ‘hyperechoic’ on an ultrasound because fat reflects sound waves differently than normal liver tissue. This appearance is the hallmark of fatty infiltration. It’s crucial to understand that the liver is remarkably resilient. In its mild form, fatty infiltration typically doesn’t impair the liver’s function. The liver cells are still doing their jobs, processing nutrients, detoxifying your blood, and producing bile. However, it’s a warning sign . It signals that the balance of fat metabolism in your body is off. This imbalance could be due to a number of factors, ranging from diet and weight to underlying health conditions. The liver’s ability to store fat is significant, but when fat intake or production consistently outpaces the liver’s capacity to process and export it, steatosis occurs. This is particularly common in conditions like obesity and type 2 diabetes, where insulin resistance plays a major role. Insulin resistance can promote fat storage in the liver and inhibit the release of fat from the liver. So, while ‘mild’ sounds reassuring, it’s your body’s way of giving you a heads-up. It’s an opportunity to make changes before the condition potentially progresses to more serious forms like steatohepatitis (fatty liver with inflammation), fibrosis (scarring), or even cirrhosis (severe scarring). So, in simple terms, mild fatty infiltration is a sign of excess fat in the liver cells, usually without immediate harm but indicating an underlying metabolic imbalance that needs attention.

Causes of Mild Fatty Liver Infiltration

So, what are the usual suspects behind this mild fatty infiltration of the liver ? Guys, it’s often a combination of lifestyle factors and underlying health conditions. The most common culprits, hands down, are obesity and being overweight . When you carry extra pounds, especially around your belly, your body tends to have more fat circulating, and a good portion of that can end up being stored in your liver. It’s like having too many packages arriving at your doorstep – eventually, some get left on the porch, and in this case, the liver becomes that porch! Another huge factor is insulin resistance , which is closely linked to obesity and often seen in people with type 2 diabetes or prediabetes. When your body doesn’t use insulin effectively, it leads to higher blood sugar levels and also encourages your liver to produce and store more fat. Think of insulin as a key that unlocks cells to let sugar in for energy; when the lock is rusty (insulin resistance), sugar builds up, and the body tries to store the excess energy as fat, often in the liver. Our modern diets play a massive role too. High intake of sugary drinks , processed foods, refined carbohydrates (like white bread and pastries), and unhealthy fats can overload your liver’s ability to process everything. Your liver has to deal with all this incoming ‘stuff,’ and if it’s too much, too often, fat starts to pile up. Even if you’re not overweight, a diet high in these ‘empty calories’ can contribute to fatty liver. Sedentary lifestyle is another biggie. Not moving your body enough means you’re not burning the calories you consume, and those excess calories can easily turn into stored fat, including in the liver. It’s pretty straightforward: move more, burn more! Less obvious, but still important, are certain medications . Some drugs, like corticosteroids, certain chemotherapy drugs, and some medications used to treat high blood pressure or irregular heartbeats, can have fatty liver as a side effect. It’s always a good idea to discuss any new medications with your doctor if you have concerns. Other less common causes include rapid weight loss (yo-yo dieting or after bariatric surgery), certain genetic factors , and conditions like high cholesterol and high triglycerides . These conditions mean you have an excess of fats circulating in your blood, and the liver is a major player in fat metabolism, so it can get involved in storing some of that excess. It’s also worth mentioning that alcohol can cause fatty liver, but this is typically referred to as alcoholic fatty liver disease, which is different from the non-alcoholic fatty liver disease (NAFLD) that often falls under the umbrella of ‘mild fatty infiltration’ caused by the factors above. However, even in NAFLD, excessive alcohol consumption can worsen the condition. So, to sum it up, it’s usually a mix of extra body fat, how your body handles sugar and fats (insulin resistance), what you eat and drink, how much you move, and sometimes, the meds you take.

Signs and Symptoms of Mild Fatty Liver

Now, this is where things get a bit sneaky, guys. For mild fatty infiltration of the liver , the most common ‘symptom’ is actually the lack of symptoms. Seriously! Most people who have mild fatty liver feel perfectly fine and have no idea anything is wrong. It’s often discovered completely by accident when they go for an ultrasound, CT scan, or MRI for a totally different reason. The radiologist might look at the images and say, ‘Oh, hey, your liver looks a little brighter than usual, suggesting some fat deposition.’ And bam , you’ve got a diagnosis. Because the liver is such a robust organ, it can continue to function normally even with a mild amount of fat. It’s like a car engine that’s running a little rough but can still get you from point A to point B without breaking down. However, in some individuals, even with a mild fatty infiltration, there might be some vague, non-specific signs. These can include a feeling of fullness or discomfort in the upper right part of the abdomen , where the liver is located. Some people might report a general sense of fatigue or feeling unusually tired, but this is so common and can be attributed to so many other things (lack of sleep, stress, etc.) that it’s rarely a direct indicator. Occasionally, people might experience unexplained weight loss or a loss of appetite , but again, these are not typical for the mild stage and are more common if the condition progresses. One thing to note is that there isn’t a specific blood test that directly diagnoses fatty liver. Liver function tests (like AST and ALT) in your blood work might be normal or only slightly elevated in cases of mild fatty infiltration. Significant elevations usually suggest more inflammation or damage is occurring. So, relying on symptoms is pretty much a dead end for mild fatty liver. The key takeaway here is don’t wait for symptoms . If you have risk factors like obesity, diabetes, high cholesterol, or a family history, it’s worth discussing your liver health with your doctor. Regular check-ups and screenings are your best bet for catching mild fatty infiltration early, when it’s most manageable and reversible. The absence of symptoms doesn’t mean the absence of a condition; it just means your body is very good at compensating, at least for a while. So, while it’s great that you’re likely feeling fine, remember that early detection is the name of the game when it comes to liver health.

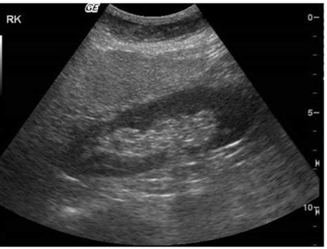
Diagnosing Mild Fatty Liver

Okay, so you’ve heard the term mild fatty infiltration of the liver , and now you’re wondering, ‘How do doctors even figure this out?’ The diagnostic process usually starts with your doctor considering your medical history and risk factors . They’ll ask about your diet, exercise habits, weight changes, family history of liver disease, alcohol consumption, and any medications you’re taking. They’ll also be on the lookout for signs of conditions strongly associated with fatty liver, like obesity, diabetes, metabolic syndrome, high cholesterol, and high triglycerides. Based on this information, they might order some tests. The gold standard for diagnosing the presence and severity of fat in the liver is usually through imaging studies . The most common and often the first line of investigation is an abdominal ultrasound . This non-invasive test uses sound waves to create images of your organs. In fatty liver, the liver tissue appears brighter (hyperechoic) on the ultrasound compared to the surrounding tissues, like the spleen or the right kidney. The radiologist can also often grade the severity of the fatty infiltration as mild, moderate, or severe based on how much the liver tissue appears brighter. Another imaging option is a CT scan or MRI (Magnetic Resonance Imaging). These can also detect fat in the liver and provide more detailed images, sometimes differentiating between simple fatty liver and more complex conditions. MRIs, in particular, can offer more precise measurements of fat content. Now, what about blood tests ? While blood tests can’t directly diagnose fatty liver, they are crucial for assessing overall liver health and ruling out other causes of liver problems. Your doctor will likely order a liver function panel , which includes tests like ALT (alanine aminotransferase), AST (aspartate aminotransferase), ALP (alkaline phosphatase), and bilirubin. In mild fatty liver, these enzymes might be normal or only slightly elevated. Significantly high levels often suggest inflammation or damage, pointing towards non-alcoholic steatohepatitis (NASH) or other liver diseases. Other blood tests might check for viral hepatitis (like Hepatitis B or C), autoimmune markers, and iron levels to exclude other potential causes of liver disease. Sometimes, especially if there’s a concern about scarring (fibrosis) or inflammation, a doctor might consider a transient elastography (like FibroScan), which is a non-invasive ultrasound-based test to measure liver stiffness. In cases where the diagnosis is uncertain or there’s suspicion of significant inflammation or fibrosis, a liver biopsy might be recommended. This is the most definitive way to diagnose and stage liver disease, but it’s an invasive procedure, so it’s usually reserved for more complex situations. For most cases of mild fatty infiltration, imaging like an ultrasound is sufficient for diagnosis, often coupled with blood tests to check for associated metabolic issues.

Reversing Mild Fatty Liver: Lifestyle is Key!

Alright guys, let’s talk about the good news: mild fatty infiltration of the liver is often reversible! This is where you, yes you , have the power to make a real difference. The cornerstone of reversing mild fatty liver is through significant lifestyle modifications . Think of it as giving your liver the break it needs and helping it get back to its optimal functioning. The absolute number one thing you can do is focus on weight loss if you are overweight or obese. Even a modest weight loss of 5-10% of your body weight can significantly reduce the fat in your liver. This doesn’t mean crash dieting! Sustainable, gradual weight loss is the key. This involves a two-pronged approach: a healthier diet and regular physical activity. When it comes to diet, the focus should be on reducing caloric intake and improving the quality of your food. Cut back drastically on sugary drinks (sodas, fruit juices), processed foods, fast foods, refined carbohydrates (white bread, pasta, pastries), and unhealthy saturated and trans fats. Instead, load up on fruits, vegetables, whole grains, lean proteins (fish, chicken, beans), and healthy fats (avocado, nuts, olive oil). Think Mediterranean diet – it’s consistently shown to be beneficial for liver health. Portion control is also super important. Making these dietary changes can feel like a huge mountain to climb, but start small! Swap one sugary drink a day for water, add an extra serving of vegetables to your dinner, or choose whole-wheat bread instead of white. Every little bit counts. Then there’s physical activity . Aim for at least 150 minutes of moderate-intensity aerobic exercise per week (like brisk walking, jogging, swimming, or cycling) and consider incorporating strength training a couple of times a week. Exercise helps burn calories, improves insulin sensitivity, and can directly help reduce liver fat, even independent of weight loss. Again, start where you are. If you’re not exercising now, begin with short walks and gradually increase the duration and intensity. Beyond diet and exercise, limiting or avoiding alcohol is critical, even if your fatty liver is non-alcoholic. Alcohol puts extra stress on the liver, and giving it a break is essential for recovery. Managing associated conditions is also vital. If you have diabetes, work closely with your doctor to get your blood sugar under control. If you have high cholesterol or high blood pressure, adhere to your treatment plan and lifestyle recommendations. Sometimes, medications might need adjustment, so regular follow-ups are key. Lastly, patience and consistency are your best friends. Reversing mild fatty liver doesn’t happen overnight. It requires ongoing commitment to these healthy habits. But the reward – a healthier liver and a healthier you – is absolutely worth it. By taking these steps, you’re not just treating the symptom of fatty infiltration; you’re addressing the root causes and building a foundation for long-term health. It’s empowering stuff, guys!

When to See a Doctor

So, when should you actually pick up the phone and schedule that doctor’s appointment regarding mild fatty infiltration of the liver ? Honestly, guys, if you’ve received this diagnosis, you should already be talking to your doctor! But let’s break down the scenarios. First and foremost, if you’ve been diagnosed with mild fatty liver , you need to follow up with your healthcare provider. This isn’t a condition to self-diagnose or ignore. Your doctor will help you understand the potential causes, assess any associated health issues (like diabetes or high cholesterol), and create a personalized plan for management, which, as we’ve discussed, usually involves lifestyle changes. Don’t just get the report and put it in a drawer! Secondly, if you have significant risk factors but haven’t been diagnosed , it’s a good idea to talk to your doctor. We’re talking about individuals who are obese, have type 2 diabetes, metabolic syndrome, high cholesterol, or a strong family history of liver disease. Even without symptoms, an annual check-up might include screening tests that could pick up on early signs. It’s better to be proactive! Third, if you start experiencing any new or concerning symptoms , even if you don’t have a known diagnosis of fatty liver. While mild fatty liver itself is often asymptomatic, sometimes symptoms can arise if it progresses, or if there’s an underlying issue causing both the fatty liver and the symptoms. These could include persistent abdominal pain or discomfort (especially in the upper right side), unexplained fatigue that doesn’t improve with rest, jaundice (yellowing of the skin or eyes – this is more serious!), swelling in the legs or abdomen, or changes in urine or stool color. These symptoms warrant prompt medical attention. Fourth, if you’re taking medications known to potentially affect the liver , it’s wise to have regular check-ins with your doctor to monitor your liver health. Don’t stop or change medications without consulting them, but do communicate any concerns. Finally, if you’ve made lifestyle changes for fatty liver and want to track your progress . Your doctor can help monitor your liver enzymes through blood tests and may recommend follow-up imaging (like ultrasounds) after a period of consistent effort (e.g., 6 months to a year) to see if the fat infiltration has improved. Essentially, seeing a doctor is crucial for diagnosis, understanding the underlying causes, developing a management plan, ruling out other conditions, and monitoring your progress. It’s all about taking control of your health and working with your medical team to keep your liver functioning optimally. So, don’t hesitate – reach out to your doctor!