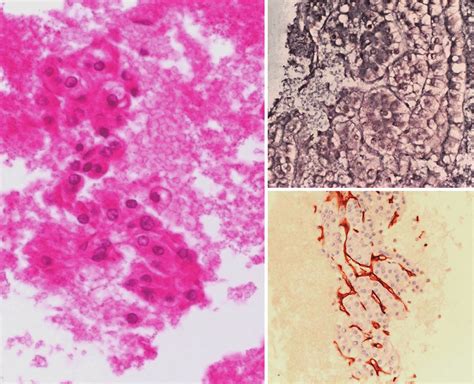
Understanding Pseudoglandular Epithelial Cells (PGEPCs)

V.Sislam 22 views
Understanding Pseudoglandular Epithelial Cells (PGEPCs)

Unraveling the Mystery of Pseudoglandular Epithelial Cells (PGEPCs)

Hey guys, let’s dive deep into the fascinating world of pseudoglandular epithelial cells , often shortened to PGEPCs . These little dynamos are a crucial part of our body’s intricate systems, and understanding what they do can be super insightful. So, what exactly are these PGEPCs, and why should we even care? Basically, they are a type of cell that lines certain organs and structures, and their name gives us a big clue about their function. The ‘pseudoglandular’ part means they look like glands but aren’t true glands themselves. They play a vital role in secreting substances, much like glands do, but their structure and origin are a bit different. Think of them as nature’s multitaskers, contributing to everything from lubrication to protection.

One of the most prominent places you’ll find these PGEPCs is in the respiratory tract , specifically in the developing lungs of a fetus. During lung development, the airways branch out, and these cells are key players in forming that intricate network. They help create the initial structure, secreting factors that guide the branching process and lay the groundwork for future lung function. It’s a pretty complex ballet of cellular activity, and PGEPCs are leading the dance! Their presence here is temporary, meaning they eventually differentiate into other cell types, like the cells that line mature airways. This transformation is a testament to the dynamic nature of cellular development and how specialized cells arise from more generalized ones. So, when we talk about lung development, remember these unsung heroes, the PGEPCs, who are instrumental in building the very foundation of our ability to breathe. Without their temporary but critical role, the complex architecture of the lungs wouldn’t form correctly, leading to significant developmental issues. It’s a beautiful example of how transient cell populations can have profound and lasting impacts on organogenesis. The study of PGEPCs in this context is crucial for understanding and potentially treating congenital lung abnormalities, offering hope for improved outcomes for affected infants. Their temporary nature also makes them a fascinating subject for research into cellular differentiation and developmental signaling pathways, providing insights that could be applicable to regenerative medicine and other fields.

Beyond the lungs, PGEPCs also pop up in other areas, like the endometrium during the menstrual cycle. Here, they contribute to the cyclical changes that prepare the uterus for potential pregnancy. They help in building up and breaking down the uterine lining, a process orchestrated by hormones. This underscores their adaptability and how their function can be tailored to the specific needs of different tissues and physiological states. It’s not just about structure; it’s about active participation in dynamic biological processes. The endometrium undergoes dramatic transformations each month, and PGEPCs are integral to this cyclical remodeling. They respond to hormonal cues, secreting factors that influence blood vessel growth, tissue repair, and glandular development within the uterine lining. This intricate interplay ensures that the endometrium is receptive to implantation when pregnancy occurs and readily sheds when it does not. Understanding the role of PGEPCs in endometrial function is vital for research into conditions like endometriosis, infertility, and recurrent pregnancy loss. By studying how these cells behave under different hormonal conditions, scientists can gain valuable insights into the mechanisms underlying these often debilitating conditions. This knowledge can pave the way for novel therapeutic strategies aimed at restoring normal endometrial function and improving reproductive health outcomes. The cyclical nature of their activity highlights the body’s incredible ability to prepare for and respond to potential life events, a process in which PGEPCs play a pivotal, albeit often overlooked, role. Their involvement in tissue repair and regeneration within the endometrium also points towards their potential contribution to healing processes, further emphasizing their multifaceted importance. The hormonal sensitivity of these cells makes them a key target for understanding the broader impact of endocrine signaling on tissue homeostasis and reproductive function.

The Nuances of PGEPC Function and Differentiation

Let’s get a bit more granular, shall we? The function of pseudoglandular epithelial cells is as diverse as the locations they inhabit. In the developing lung, as we touched upon, they are crucial for morphogenesis – essentially, the shaping of the organ. They secrete extracellular matrix components and signaling molecules that guide the intricate branching of the bronchial tree. Think of it as laying down the blueprint and scaffolding for the future respiratory system. This isn’t just passive building; it’s an active, dynamic process requiring precise cellular communication and coordinated action. The matrix they produce not only provides structural support but also contains signaling cues that direct the behavior of neighboring cells, influencing their proliferation, differentiation, and migration. This makes PGEPCs critical architects of organ development, ensuring that the complex network of airways forms correctly to facilitate efficient gas exchange later in life. Their temporary role means that their genetic program is designed for a specific developmental window, after which they transition into more mature cell types, a process that scientists are still unraveling.

In the endometrium, their role shifts. They contribute to the glandular development of the uterine lining, preparing it for implantation. This involves secreting glycogen and other nutrients essential for supporting an early embryo. They are part of the cyclic renewal and preparation of the endometrium, responding robustly to estrogen and progesterone. This hormonal responsiveness is key; it means their activity is tightly regulated and integrated into the broader reproductive cycle. The ability of PGEPCs to undergo dramatic changes in response to hormones allows the endometrium to adapt to the body’s reproductive status, creating an optimal environment for pregnancy or initiating shedding when pregnancy does not occur. This cyclical plasticity is a marvel of biological engineering, and PGEPCs are at the heart of it. Their contribution to glandular secretions is not merely about providing sustenance; it also involves creating a specific biochemical environment within the uterus that can influence sperm transport, fertilization, and early embryonic development. The complex interplay between PGEPCs, hormones, and other endometrial cells highlights the sophisticated regulatory networks that govern reproductive health. Research into these cells can offer vital clues for understanding and treating conditions that affect fertility and pregnancy.

Furthermore, the differentiation of pseudoglandular epithelial cells is a hot topic in developmental biology. These cells often arise from more primitive progenitor cells and then transform into specialized cell types. Understanding the signals and genetic factors that drive this differentiation is key to understanding how organs are formed and how we might regenerate damaged tissues. It’s like understanding the recipe and cooking instructions for creating specific cell types. The transition from PGEPCs to mature airway cells, for example, involves a complex cascade of gene expression changes that ultimately lead to the formation of ciliated cells, goblet cells, and other specialized epithelial cells responsible for airway clearance and mucus production. Similarly, in the endometrium, their differentiation can lead to the formation of mature secretory glands. This process of cellular transformation is fundamental to development and tissue homeostasis, and studying it in PGEPCs provides a valuable model system for broader biological questions. Unlocking the secrets of PGEPC differentiation could have significant implications for treating lung diseases, hormonal imbalances, and even certain types of cancer where aberrant cell growth and differentiation play a role. The ability to guide or mimic this differentiation process in a lab setting could revolutionize regenerative medicine, offering new ways to repair or replace damaged tissues and organs. It’s a complex puzzle, but every piece we uncover about PGEPCs brings us closer to understanding the fundamental mechanisms of life.

Where Else Do We Find These Handy Cells?

While the lungs and endometrium are prime real estate for PGEPCs , their presence isn’t limited to just these two spots. They can also be found in other developing or remodeling tissues where gland-like structures are forming or being modified. For instance, in certain embryonic structures that will eventually form exocrine glands, you might encounter these pseudoglandular cells transiently. They act as precursors or temporary organizers, paving the way for the definitive glandular architecture. It’s like the construction crew that builds the initial framework before the specialized interior designers come in. This highlights their role as developmental intermediates, cells that bridge the gap between less specialized and fully differentiated states. Their temporary nature is often key to their function; they perform a specific role during a critical developmental window and then either disappear or transform into the mature cell type. This transient existence is a common theme in development, ensuring that complex structures are built efficiently and correctly.

Consider the development of salivary glands or sweat glands. While the mature glands have their own specialized epithelial cells, the initial stages of their formation might involve cells exhibiting characteristics of pseudoglandular epithelium. These cells help establish the basic ductal system and lobular organization that the mature gland will inherit. Their secretory activity during this phase might be crucial for signaling pathways that control branching morphogenesis and tissue patterning. The study of these processes in various developing organs provides a comparative perspective on the conserved mechanisms of gland formation and the versatile role of PGEPCs as developmental facilitators. This comparative approach allows researchers to identify common principles underlying organogenesis and to understand how minor variations can lead to species-specific differences in glandular structures. The ephemeral nature of PGEPCs in these contexts means they are often overlooked in histological studies focused on mature tissues, but their importance in the developmental trajectory of these organs is undeniable. Understanding their specific molecular markers and signaling pathways can provide crucial insights into developmental errors that might lead to congenital gland abnormalities. This is particularly relevant for conditions affecting the exocrine system, which play vital roles in digestion, lubrication, and thermoregulation. The ability of PGEPCs to transiently organize and secrete during development underscores the plasticity of epithelial cells and their capacity to adopt diverse roles throughout embryogenesis. It’s a dynamic process that showcases the elegance and efficiency of biological development, where temporary structures serve essential functions before being superseded by more permanent ones. Their presence in these diverse contexts emphasizes their fundamental role in building the body’s complex glandular systems from the ground up, a testament to their adaptability and importance in the grand scheme of development.

In some pathological conditions, these cells might also reappear or persist abnormally, providing clues about disease mechanisms. For example, in certain inflammatory conditions or during tissue repair processes, you might see a resurgence of cells with PGEPC-like features. This isn’t their normal function, but it indicates a reactivation of developmental pathways or a response to cellular stress. Studying these contexts can help us understand how tissues respond to injury and what goes wrong in chronic diseases. It’s like seeing a flashback to an earlier developmental stage, offering hints about the underlying cellular programming. The reappearance of PGEPC-like cells in adult tissues, especially in response to injury or inflammation, is a fascinating area of research. It suggests that the potential for such cell types to emerge might be retained throughout life, albeit usually suppressed. Understanding the triggers for this reappearance and the specific functions these cells perform in pathological settings could lead to new therapeutic targets. For instance, if these cells contribute to fibrotic scarring or aberrant tissue remodeling, inhibiting their activity might prove beneficial. Conversely, if they play a role in promoting repair, understanding how to stimulate their beneficial functions could aid in regenerative medicine approaches. The plasticity of epithelial cells and their ability to revert to or mimic developmental states under duress is a recurring theme in pathology and regeneration. PGEPCs serve as a key example of this phenomenon, illustrating how cells can dynamically alter their identity and function in response to changing environmental cues. Their presence in disease states underscores the intricate connection between development and pathology, where disruptions in normal cellular processes can have long-lasting consequences. This duality of function – crucial in development, potentially problematic or indicative in disease – makes PGEPCs a continually intriguing subject for scientific inquiry. They represent a cellular memory of developmental processes that can be reactivated, offering both challenges and opportunities in medicine. The study of their role in pathology is essential for a comprehensive understanding of tissue response and adaptation in disease contexts, further highlighting their significance beyond their well-established developmental roles.

Why Studying PGEPCs Matters

So, why all the fuss about PGEPCs ? Because understanding these cells is fundamental to unlocking secrets in several key areas of biology and medicine. First , their role in development is paramount. Aberrations in lung or endometrial development, often linked to PGEPC dysfunction, can lead to serious congenital conditions. Studying them helps us grasp the intricate processes of organogenesis and potentially find ways to prevent or treat these issues. It’s about ensuring that the building blocks of life are put together correctly from the very start. The insights gained from studying PGEPCs in embryonic development are directly applicable to fields like teratology (the study of birth defects) and reproductive medicine. By understanding the specific molecular signals that govern PGEPC behavior during critical developmental windows, researchers can identify potential points of intervention to correct developmental errors or mitigate the effects of teratogenic exposures. This knowledge is crucial for improving prenatal care and for developing strategies to support healthy fetal development, especially in cases of high-risk pregnancies or exposure to environmental toxins.

Second , their connection to hormonal regulation and reproductive health is undeniable. Their activity in the endometrium is directly tied to the menstrual cycle and fertility. Research here can shed light on causes of infertility, endometriosis, and other reproductive disorders, potentially leading to new diagnostic tools and treatments. Understanding how hormones influence PGEPCs could revolutionize how we approach fertility treatments and management of gynecological conditions. The cyclical nature of endometrial changes, driven by hormonal fluctuations, is a finely tuned process, and PGEPCs are key participants. Disruptions in this process, whether due to hormonal imbalances, genetic factors, or environmental influences, can have profound impacts on a woman’s reproductive health. By focusing on PGEPCs, scientists can unravel the complex molecular pathways involved in endometrial receptivity, implantation failure, and the pathogenesis of conditions like adenomyosis and endometrial cancer. This deeper understanding paves the way for more targeted and effective therapies, moving beyond general hormone replacement to specific cellular interventions. The potential to modulate PGEPC behavior could offer new hope for women struggling with infertility or chronic reproductive diseases, aiming to restore normal endometrial function and improve conception rates. Their role as endocrine-responsive cells makes them a critical link between the hormonal milieu and tissue-level responses in the reproductive system.

Third , their presence in tissue repair and regeneration makes them interesting for understanding how our bodies heal. While temporary in development, their potential reappearance in adult tissues after injury suggests they might have a role in restorative processes. Figuring out if they contribute positively or negatively to healing could inform strategies for wound care and tissue engineering. The ability of certain cell types to ‘remember’ or revert to developmental programs after injury is a fundamental concept in regenerative biology. PGEPCs exemplify this, potentially offering a window into how damaged tissues attempt to reorganize and repair themselves. If their role in repair is beneficial, understanding how to activate or enhance their function could be a powerful tool for promoting tissue regeneration. Conversely, if they contribute to aberrant scarring or fibrosis, developing ways to suppress their activity might be necessary. This dual potential highlights the complexity of tissue responses and the need for nuanced approaches in regenerative medicine. Studying PGEPCs in the context of injury and repair allows us to explore the intricate signaling networks that govern cell fate and tissue remodeling, providing valuable insights that could be translated into clinical applications for treating chronic wounds, organ damage, and degenerative diseases. Their involvement, whether constructive or destructive, paints a picture of the body’s dynamic and sometimes surprising responses to stress and damage, reminding us of the deep connections between development, healing, and disease. The study of these cells contributes to a broader understanding of cellular plasticity and the potential for endogenous repair mechanisms within the body.

Finally, PGEPCs are a fantastic model for studying cellular differentiation . The journey from a progenitor cell to a specialized PGEPC, and then potentially to other mature cell types, is a microcosm of fundamental biological processes. Unraveling the genetic and molecular switches that control these transformations helps us understand cell fate determination, a concept crucial for everything from basic biology to fighting cancer. It’s like dissecting the instruction manual for cell development. Understanding the precise sequence of events and the regulatory factors involved in PGEPC differentiation can provide a blueprint for directing cell fate in other contexts. This knowledge is invaluable for stem cell research, where the goal is often to guide stem cells to differentiate into specific cell types for therapeutic purposes. For example, by understanding the signals that induce PGEPCs to form mature airway cells, scientists might develop methods to generate functional lung tissue for transplantation or to repair damaged airways in patients with chronic lung disease. Similarly, insights into endometrial PGEPC differentiation could lead to new strategies for improving uterine receptivity for implantation or for treating conditions like endometrial hyperplasia. The study of these cells offers a tangible way to explore complex questions about how genetic information is translated into cellular function and how cells acquire their unique identities. This fundamental knowledge underpins many advancements in modern medicine, from gene therapy to personalized cancer treatments. Ultimately, the humble pseudoglandular epithelial cell, often transient and overlooked, proves to be a cornerstone in understanding some of the most profound biological processes, offering a gateway to significant medical breakthroughs. Their adaptability and role in critical biological functions make them a subject of enduring scientific interest and importance for human health.