Unraveling Batwing Appearance: Lung Conditions Explained

V.Sislam 119 views
Unraveling Batwing Appearance: Lung Conditions Explained

Unraveling Batwing Appearance: Lung Conditions Explained

Hey there, guys! Ever heard of something called a “batwing appearance” when talking about lung conditions? It might sound a bit spooky, like something out of a comic book, but in the world of medicine, especially when looking at lung X-rays or CT scans, it’s a super important sign. This batwing appearance is a specific radiographic pattern that can tell doctors a whole lot about what’s going on inside your chest, often pointing to some serious underlying lung conditions or heart issues. It’s not a disease itself, but rather a visual clue – a pattern of fluid or inflammation that, when seen on an image, resembles a bat’s outstretched wings. Pretty cool, right? But also, pretty critical to understand, as it usually means something significant is happening with your lungs or heart that needs attention. Don’t worry, we’re going to break down everything you need to know about this mysterious sign, from what it looks like and why it happens, to the various conditions it can indicate, and how doctors go about figuring it all out. Our goal here is to give you a clear, easy-to-understand guide on batwing appearance and the lung conditions that often go hand-in-hand with it, so you’re better informed and empowered about your health.

What Exactly is “Batwing Appearance”? A Deep Dive into Radiology Signs

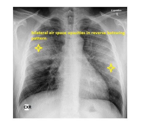
Alright, so let’s get down to brass tacks: what is this batwing appearance we keep talking about? When a radiologist – that’s the doctor who specializes in reading X-rays and scans – looks at a chest X-ray, they’re searching for specific patterns. The batwing appearance , also sometimes called a “butterfly pattern” or “perihilar infiltrates,” describes a very distinct look on the imaging. Imagine the central part of your chest, around your heart and the main blood vessels and airways (this area is called the hilum, or perihilar region). When there’s a significant amount of fluid, blood, or inflammatory material building up in the lungs, particularly around these central areas, it tends to spread outwards from the hilum, but spares the very edges or periphery of the lungs. This creates a silhouette that looks remarkably like a bat with its wings spread out, or a butterfly if you’re feeling more optimistic! These perihilar infiltrates are basically areas of increased density on the X-ray, meaning they look whiter or brighter than healthy lung tissue, which usually appears dark. The reason it spares the very edges (apices and costophrenic angles) is often due to gravity and the distribution of blood flow and lymphatics, which direct fluid away from these areas, at least initially. Understanding this visual cue is absolutely crucial because it immediately narrows down the list of potential problems, allowing doctors to hone in on the most likely lung conditions . It’s like a medical shortcut for diagnosis, providing a strong indication that there’s a significant process, often acute and severe, affecting both lungs symmetrically. So, when a doctor sees batwing appearance , they know they’re dealing with something that’s likely systemic and affecting the entire pulmonary system rather than a localized issue. This is why knowing about this sign is so important for healthcare professionals and, honestly, pretty fascinating for anyone interested in how our bodies work and how medical imaging helps uncover hidden truths. It’s a prime example of how a simple image can speak volumes about your health status, and why skilled interpretation is invaluable. The symmetry of the infiltrates, hugging the central lung fields while leaving the outer zones relatively clear, is the defining characteristic that makes this particular pattern stand out and earn its memorable, if slightly ominous, name. This distinct pattern is what helps clinicians differentiate it from other types of lung infiltrates, like those seen in typical pneumonia or localized tumors. Guys, it’s a major red flag that something significant is happening within your pulmonary system.

The Main Culprit: Congestive Heart Failure and Pulmonary Edema

When doctors see a batwing appearance on a chest X-ray, their minds often jump to one major suspect: congestive heart failure (CHF) leading to pulmonary edema . This is, hands down, one of the most common and critical lung conditions that present with this classic radiographic sign. So, what’s the deal here? Imagine your heart as a pump, and in CHF, that pump isn’t working as efficiently as it should be. It struggles to push blood out to the body, and as a result, blood starts to back up. This backup can lead to increased pressure in the blood vessels of your lungs, causing fluid to leak out of the tiny capillaries and into the air sacs (alveoli) and interstitial spaces of your lungs. This fluid accumulation in the lungs is what we call pulmonary edema . The reason it often forms that distinct batwing appearance is because the fluid tends to accumulate more densely in the perihilar regions – those central areas of your lungs we talked about earlier – due to gravity and the anatomical distribution of blood flow. The fluid just loves to settle in those central areas, forming that distinctive symmetrical pattern. Patients experiencing severe pulmonary edema due to CHF will typically present with a whole host of scary symptoms, including severe shortness of breath, especially when lying down ( orthopnea ), a cough that might produce frothy, pink-tinged sputum, and feeling extremely tired and weak. They might also have swollen legs and ankles (edema) and a very rapid heartbeat. Diagnosing this often involves a combination of looking at the patient’s symptoms, a physical exam where doctors might hear crackling sounds in the lungs ( rales ), and of course, that tell-tale chest X-ray showing the batwing appearance . Blood tests, like measuring BNP (brain natriuretic peptide), which is elevated in heart failure, and an echocardiogram (an ultrasound of the heart) to assess heart function, are also crucial. Initial management is usually focused on getting rid of that excess fluid and helping the heart pump more effectively. This often involves diuretics (like furosemide, which makes you pee a lot!), oxygen therapy, and medications to improve heart function. Guys, it’s a serious condition that requires urgent medical attention, and that batwing appearance is often the visual siren call telling doctors to act fast. Early recognition and treatment can make a huge difference in patient outcomes, preventing further deterioration and helping to restore breathing capacity. So, while the batwing might look a bit ominous, it’s actually a vital clue that guides life-saving interventions when heart failure is the culprit.

Beyond the Heart: Other Conditions Presenting with Batwing Infiltrates

While congestive heart failure is the poster child for batwing appearance , it’s super important to remember that it’s not the only cause. Sometimes, other serious lung conditions can mimic this radiographic pattern. Doctors always have to keep their detective hats on to consider these other possibilities, especially if the patient’s history or other symptoms don’t perfectly align with typical heart failure. It’s all about putting together the pieces of the puzzle, and the batwing appearance is just one, albeit significant, piece. Let’s look at a few other contenders that can sometimes throw a wrench in the diagnostic works.

Acute Respiratory Distress Syndrome (ARDS) – A Serious Contender

Another very serious lung condition that can present with a similar batwing appearance is Acute Respiratory Distress Syndrome , or ARDS for short. This is a severe, life-threatening lung injury that can be triggered by a wide range of underlying causes, such as severe infections (like sepsis or pneumonia, including severe viral pneumonia such as COVID-19), major trauma, aspiration of stomach contents, or even pancreatitis. In ARDS, the tiny air sacs in the lungs become inflamed and filled with fluid, not because of heart failure, but because of a direct injury to the lung tissue itself. This causes severe shortness of breath, rapid breathing, and dangerously low oxygen levels. Radiographically, the inflammation and fluid accumulation in ARDS can be widespread and bilateral, often presenting as diffuse, confluent infiltrates, which sometimes, particularly in the early stages or in certain patterns, can resemble that familiar batwing appearance as it concentrates around the hila. The key difference from CHF-induced pulmonary edema is often the absence of cardiomegaly (enlarged heart) and other signs of fluid overload on physical exam or with specific blood tests like BNP. Treatment for ARDS is incredibly intensive, often requiring mechanical ventilation to help patients breathe, along with managing the underlying cause. It’s a critical care situation, and seeing that widespread pulmonary involvement on an X-ray, sometimes with a batwing appearance , immediately signals the severity of the lung injury.

Pneumocystis Pneumonia (PCP) in Immunocompromised Patients

Here’s another specific lung condition where batwing appearance might pop up, particularly in a very specific patient group: Pneumocystis Pneumonia (PCP) . This is a fungal infection of the lungs, and while it’s relatively rare in people with healthy immune systems, it’s a major concern for individuals who are immunocompromised. Think people living with HIV/AIDS, those undergoing chemotherapy, or organ transplant recipients on immunosuppressive medications. In these vulnerable patients, PCP can cause a diffuse, often symmetrical, ground-glass opacity or interstitial infiltrates in the lungs, which, you guessed it, can sometimes take on a batwing appearance or a perihilar distribution. The symptoms often include fever, dry cough, and progressive shortness of breath, sometimes developing over weeks. The diagnosis is usually confirmed by identifying the fungus in respiratory samples obtained through bronchoalveolar lavage (a procedure where a scope is used to wash out small amounts of fluid from the lungs). Treatment involves specific antifungal medications, usually for several weeks. So, if a doctor sees batwing appearance in an immunocompromised patient, PCP is definitely high on their list of differential diagnoses, making that radiographic sign a vital clue for targeting the right treatment.

Less Common Causes: Alveolar Hemorrhage and Pulmonary Alveolar Proteinosis

Just to make things a little more interesting (and challenging for diagnosticians!), there are a couple of other, less common lung conditions that can also sometimes cause a batwing appearance . One is diffuse alveolar hemorrhage , where there’s bleeding into the air sacs of the lungs. This can be caused by various systemic autoimmune diseases, severe infections, or even certain medications. The blood filling the alveoli can create infiltrates that, when widespread and concentrated centrally, might resemble our familiar batwing pattern. Another rare condition is pulmonary alveolar proteinosis (PAP) . This is a disorder where a fatty protein material builds up in the air sacs, impairing gas exchange. On imaging, PAP can cause diffuse, bilateral ground-glass opacities and consolidation that, in some cases, might also take on a perihilar, batwing appearance . These conditions are much less frequent than CHF or ARDS, but they highlight why a thorough medical history, physical exam, and sometimes more advanced diagnostic tests are essential to nail down the precise cause of a batwing appearance . It’s a complex medical picture, guys, and the batwing appearance is merely the initial visual prompt guiding further investigation.

How is “Batwing Appearance” Diagnosed? The Diagnostic Journey

So, you’ve got this batwing appearance showing up on an X-ray – what happens next? The diagnostic journey for pinpointing the exact lung condition behind it is a comprehensive process that goes far beyond just looking at the image. It’s a whole detective story, really, where doctors gather clues from various sources to put together the full picture. First things first, a detailed clinical history is absolutely vital. The doctor will ask you a ton of questions: When did your symptoms start? Are you short of breath? Do you have a cough? Any chest pain? Do you have a history of heart problems, kidney issues, or any immune deficiencies? What medications are you on? Have you traveled recently? This initial conversation provides immense insight into potential causes. Following that, a thorough physical exam is crucial. The doctor will listen to your heart and lungs for abnormal sounds, check for swelling in your legs, assess your vital signs, and look for any other signs that could point to heart failure, infection, or other systemic issues. Then, of course, comes the imaging . While a standard chest X-ray is usually the first step to identify the batwing appearance , doctors might order a CT scan of the chest for a more detailed look. A CT scan provides cross-sectional images, offering much greater clarity on the distribution and nature of the infiltrates, helping to differentiate fluid from inflammation or other materials. It can also reveal other subtle findings not visible on an X-ray. Beyond imaging, laboratory tests are indispensable. Blood tests like BNP (brain natriuretic peptide) are particularly useful for indicating heart strain and fluid overload, strongly suggesting CHF as the cause. Doctors will also check your blood count (CBC) to look for signs of infection or anemia, kidney function tests, and possibly inflammatory markers. Depending on the suspected cause, further specialized investigations might be necessary. For example, if heart failure is suspected, an echocardiogram (an ultrasound of the heart) will be performed to assess the heart’s pumping function and valve integrity. If an infection like PCP is on the table, a bronchoscopy with bronchoalveolar lavage might be done to collect fluid samples directly from the lungs for microbial analysis. Sometimes, a lung biopsy might even be required in very complex or unclear cases. Guys, this multi-faceted approach ensures that doctors don’t jump to conclusions but systematically evaluate all possibilities to accurately identify the specific lung condition causing the batwing appearance , leading to the most effective treatment plan. It’s a testament to the thoroughness of modern medicine, ensuring every stone is turned to secure the correct diagnosis.

Treatment Strategies: Tackling the Underlying Cause

Okay, so we’ve identified the batwing appearance and, after all that diagnostic sleuthing, we’ve figured out the specific lung condition that’s causing it. Now comes the most important part: treatment . The golden rule here is that you don’t treat the batwing appearance itself; you treat the underlying cause. It’s like seeing smoke (the batwing) and then extinguishing the fire (the actual disease). So, the treatment strategy will vary dramatically depending on what the diagnosis is. If the culprit is congestive heart failure (CHF)-induced pulmonary edema , the primary goal is to remove the excess fluid from the lungs and improve the heart’s pumping efficiency. This typically involves several key interventions. Diuretics are often administered intravenously or orally to help the kidneys excrete more water and salt, literally helping you pee out the fluid that’s congesting your lungs. Medications like furosemide are commonly used for this. Oxygen therapy is also crucial to improve oxygen levels in the blood, often delivered via a nasal cannula or a mask. Depending on the severity, non-invasive positive pressure ventilation (like BiPAP or CPAP) might be used to help open up the air sacs and push fluid out, and in very severe cases, mechanical ventilation could be necessary. Medications to support heart function, such as ACE inhibitors, beta-blockers, or inotropes, might also be initiated to help the heart recover and prevent future episodes. If Acute Respiratory Distress Syndrome (ARDS) is the diagnosis, the treatment is much more intensive and supportive. The focus is on providing optimal respiratory support, often through mechanical ventilation with specific lung-protective strategies to minimize further injury. Managing the underlying cause (e.g., treating sepsis with antibiotics) is paramount. There are no specific medications to cure ARDS directly, so supportive care, including managing fluid balance, nutrition, and preventing complications, is key. When Pneumocystis Pneumonia (PCP) is identified, specific antimicrobial medications are the cornerstone of treatment. Drugs like trimethoprim-sulfamethoxazole (Bactrim) are highly effective against this fungal infection and are usually given for several weeks. In some cases, steroids might also be used to reduce lung inflammation. For the rarer causes like diffuse alveolar hemorrhage or pulmonary alveolar proteinosis, treatment would be highly specialized, often involving immunosuppressants for autoimmune causes of hemorrhage, or lung lavage procedures for PAP. Regardless of the specific lung condition responsible for the batwing appearance , the key message is always the same, guys: prompt diagnosis and rapid initiation of the correct, targeted therapy are absolutely critical. Delaying treatment can lead to worse outcomes, so never, ever ignore these serious signs. The batwing appearance serves as an urgent visual signal for doctors to spring into action and implement life-saving interventions tailored to the specific illness.

The Takeaway: Don’t Ignore the Batwing!

Alright, guys, we’ve gone on quite a journey today, diving deep into the world of “batwing appearance” and the serious lung conditions it can indicate. We’ve learned that this distinct radiographic pattern, resembling a bat’s outstretched wings on a chest X-ray or CT scan, is a powerful visual clue for medical professionals. It points towards significant fluid or inflammation accumulating primarily in the central areas of the lungs, sparing the periphery. While often associated with the critical condition of congestive heart failure (CHF) leading to pulmonary edema , we’ve also explored other important contenders like Acute Respiratory Distress Syndrome (ARDS) , Pneumocystis Pneumonia (PCP) in immunocompromised individuals, and even rarer conditions like alveolar hemorrhage. The crucial takeaway here is that batwing appearance is not a diagnosis in itself, but rather a compelling symptom that demands immediate and thorough investigation. It’s a signal, a medical red flag that something serious is happening within your chest that requires expert attention. We’ve also touched upon the comprehensive diagnostic process, which involves not just imaging, but also a detailed clinical history, physical examination, and various laboratory tests, sometimes even requiring advanced procedures like echocardiograms or bronchoscopies, all aimed at precisely identifying the underlying lung condition . And once that diagnosis is made, the treatment is always tailored specifically to that condition, whether it’s diuretics for heart failure, supportive care for ARDS, or targeted antifungals for PCP. The bottom line, my friends, is this: if you or someone you know experiences severe shortness of breath, persistent cough, or other alarming respiratory symptoms, especially if there’s a history of heart problems or immune compromise, please, do not hesitate to seek medical attention immediately. Early diagnosis and prompt, appropriate treatment for any lung condition causing a batwing appearance are absolutely vital for the best possible outcomes. Don’t let this seemingly mysterious sign scare you, but rather let it empower you with the knowledge that it’s a critical indicator that warrants urgent professional care. Stay informed, stay vigilant, and always prioritize your health!